
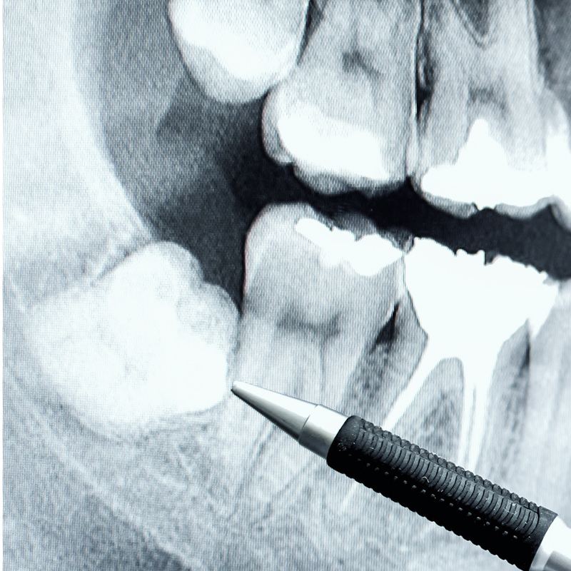
How will I know if I need a wisdom tooth extraction?
The best way to determine if you need a wisdom tooth extraction is by having your teeth and jaw examined by an experienced dental professional. Dentists use a combination of X-rays and physical dental exams to determine if a patient needs their wisdom teeth removed. Some patients will feel pain or soreness if their wisdom teeth are beginning to cause issues, while others won’t have any noticeable symptoms. Our team will monitor your wisdom teeth over time and let you know when to schedule your wisdom teeth removal if necessary.

Why do wisdom teeth need to be removed?
Our jaws are considerably smaller than the jaws of our ancestors, and as a result, our third set of molars often do not have enough room to grow in properly. If a wisdom tooth is impacted, that means it cannot erupt out of the gums, which can lead to an infection or cysts. If a wisdom tooth grows improperly, it may crowd the other teeth and damage them, which can also undo orthodontic work and cause misalignment. In some cases, wisdom teeth grow in straight and don’t need to be removed, while other patients may not even have wisdom teeth.

What kind of dental sedation can I utilize?
Villa Vista Dental offers nitrous oxide sedation to help patients feel more comfortable and relaxed during treatments like wisdom teeth removal. We look at a variety of factors, including your medical history, current health status, and your personal preferences and needs, to help determine if sedation would be a safe and effective choice for your unique treatment plan. If you’d like to learn more about nitrous oxide sedation, feel free to contact our team.
Contact Us
